Jaw Surgery - Braces and Orthodontics – Upper West Side Manhattan – New York City’s Family Orthodontist The Stars Trust – Jaw Surgery

Vardy Orthodontics

google places

130 West 78th Street — Museum Block — New York, NY 10024(212) 579-6881
1630 Stewart Lane — Laurel Hollow — Syosset, NY 11791(516) 730-6170

Jaw Surgery

Dr. Vardy participates in a Multli-disciplinary Team Treatment approach to address Pre and Post Surgical Orthodontic issues.

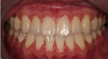
The following adult patients were treated by Dr. Vardy. An adult patient with a skeletal discrepancy, in combination with a dental bad bite, may require a combination of orthodontics (to move the teeth) & surgery (to move the jaws). When the lower jaw is too far forward of the upper jaw, resulting in a dental under bite or reverse bite, in a non- growing adult patient, this is called a Class III mal-relationship. A Class II mal-relationship is the opposite, where the lower teeth and jaw are too far back. Dr. Vardy works together with an oral maxilla-facial surgeon, to achieve the results seen below.

Dental/Skeletal Class III mal-relationship corrected by Dr. Vardy combined with surgery

jaw1 jaw2

jaw7 jaw8

Sometimes these same patients, when seen prepubertal, their jaws can be redirected to eliminate the need for surgery ie. A narrow or retruded/underdeveloped upper jaw can be widened with an expander, before the upper jaw fuses at puberty. However, as an adult, this same problem would require the assistance of a maxilla-facial surgeon, to assist with the expansion. Dr. Vardy not only treats the adults, but many times the children of these surgical/orthodontic cases inherit this bad growth pattern, and bring them in early (American Association of Orthodontics recommends that every child be seen at the approximate age of 7 for an initial consulation with an orthodontist), in an effort to eliminate the need for surgical correction, when seen pre-pubertally.

Example of just one of Dr. Vardy's many Early/Interceptive/ Dentofacial Orthopedic treatment cases, to prevent the need for surgery

jaw3 jaw4
jaw5 jaw6

Class II correction

Jaw surgery Jaw surgery

These decisions are based on the dental bad bite, skeletal mal-relationship & soft tissue profile changes desired. A lateral cephalometric & panoramic radiograph in combination with extra-oral/ intra-oral photos & study Models are part of the diagnostics records that Dr. Vardy takes to determine whether a  surgical consultation is necessary. If the above bad bites speak to you, please call 212-579-6881 to schedule a consultation with records to diagnose and treat your problem.

Back to top

Orthodontist, Dr. Iris Vardy      130 West 78th Street — Museum Block — New York, NY 10024 — (212) 579-6881
                                                         1630 Stewart Lane — Laurel Hollow — Syosset, NY 11791 — (516) 730-6170

Thank you to the patients of Vardy Orthodontics for their permission to show their many happy smiles displayed throughout our website.

Patient LoginDoctor Login
Meet Our OrthodontistFor New PatientsVirtual Office TourTreatment OptionsChildren and Teen OrthodonticsAdult Orthodontics
As Seen on TVIn the PressCommunity EventsContact UsHomeSite Map

Orthodontic Web Site by Sesame Design™